Sunday, February 3, 2013

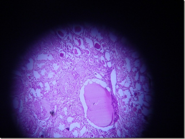
Chronic Pyelonephritis histopathology

 

 

Chronic Pyelonephritis histopathology

Click on the Photos to enlarge them.
Share with your friends, if you like our work.

chronic pyelonephritis histopathology chronic pyelonephritis

No comments:

Post a Comment

Questions related to Patent ductus arteriosus

What is patent ductus arteriosus why is it more common in neonates What is frequency of patent ductus arteriosus opening after fluid bolus d...