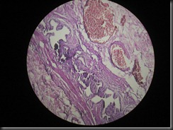
Thursday, August 1, 2013

Chondroma High Resolution Histology Slide

Chondroma- high resolution histology slide tsnaps

chondroma  high resolution histology slide tsnaps

Chondroma

High Resolution Histology Slide © Tsnaps

Click on the image to enlarge it , you may need to save the image to computer to view it in full zoom once its opened by clicking .
Since it’s a high resolution image ,opening of the image may take time.
Feel Free to use images for educational purposes.
Share us on Facebook if you like our work.

Acute Appendicitis High Resolution Histology Slide

Acute Appendicitis high resolution histology slide tsnaps

Acute Appendicitis High Resolution Histology Slide © Tsnaps

Click on the image to enlarge it , you may need to save the image to computer to view it in full zoom once its opened by clicking .
Since it’s a high resolution image ,opening of the image may take time.
Feel Free to use images for educational purposes.
Share us on Facebook if you like our work.

Chondroma High Resolution Histology Slide

Chondroma- high resolution histology slide tsnaps

chondroma  high resolution histology slide tsnaps

Chondroma

High Resolution Histology Slide © Tsnaps

Click on the image to enlarge it , you may need to save the image to computer to view it in full zoom once its opened by clicking .
Since it’s a high resolution image ,opening of the image may take time.
Feel Free to use images for educational purposes.
Share us on Facebook if you like our work.

BPH-benign prostatic hyperplasia High Resolution Histology Slide

BPH  high resolution histology slide tsnaps

BPH –benign prostatic hyperplasia

High Resolution Histology Slide © Tsnaps

Click on the image to enlarge it , you may need to save the image to computer to view it in full zoom once its opened by clicking .
Since it’s a high resolution image ,opening of the image may take time.
Feel Free to use images for educational purposes.
Share us on Facebook if you like our work.

Acute Leukemia

acute leukemia  high resolution histology slide tsnaps

Acute Leukemia High Resolution Histology Slide © Tsnaps

Click on the image to enlarge it , you may need to save the image to your computer to view it in full zoom once its opened by clicking .
Since it’s a high resolution image ,opening of the image may take time.
Feel Free to use images for educational purposes.
Share us on Facebook if you like our work.


Also Visit:

Adenocarcinoma

adeno CA  high resolution histology slide tsnaps

Adenocarcinoma

High Resolution Histology Slide © Tsnaps

Click on the image to enlarge it , you may need to save the image to computer to view it in full zoom once its opened by clicking .
Since it’s a high resolution image ,opening of the image may take time.
Feel Free to use images for educational purposes.
Share us on Facebook if you like our work.

Basal Cell Carcinoma High Resolution Histology Slide

basal cell carcinoma  high resolution histology slide tsnaps

Basal Cell Carcinoma

High Resolution Histology Slide © Tsnaps

Click on the image to enlarge it , you may need to save the image to computer to view it in full zoom once its opened by clicking .
Since it’s a high resolution image ,opening of the image may take time.
Feel Free to use images for educational purposes.
Share us on Facebook if you like our work.

ALL High Resolution Histology Slide

all acute leukemia  high resolution histology slide tsnaps   ALL high resolution histology slide tsnaps

ALL

High Resolution Histology Slide © Tsnaps

Click on the image to enlarge it , you may need to save the image to computer to view it in full zoom once its opened by clicking .
Since it’s a high resolution image ,opening of the image may take time.
Feel Free to use images for educational purposes.
Share us on Facebook if you like our work.

Adenoma Colon High Resolution Histology Slide

Adenoma Colon  high resolution histology slide tsnaps

Adenoma Colon

High Resolution Histology Slide © Tsnaps

Click on the image to enlarge it , you may need to save the image to computer to view it in full zoom once its opened by clicking .
Since it’s a high resolution image ,opening of the image may take time.
Feel Free to use images for educational purposes.
Share us on Facebook if you like our work.

AML High Resolution Histology Slide

AML high resolution histology slide tsnaps

AML

High Resolution Histology Slide © Tsnaps

Click on the image to enlarge it , you may need to save the image to computer to view it in full zoom once its opened by clicking .
Since it’s a high resolution image ,opening of the image may take time.
Feel Free to use images for educational purposes.
Share us on Facebook if you like our work.

Colloid goiter High Resolution Histology Slide

Colloid goitre high resolution histology slide tsnaps Colloid Goitre- high resolution histology slide tsnaps

Colloid goitre

High Resolution Histology Slide © Tsnaps

Click on the image to enlarge it , you may need to save the image to computer to view it in full zoom once its opened by clicking .
Since it’s a high resolution image ,opening of the image may take time.
Feel Free to use images for educational purposes.
Share us on Facebook if you like our work.

CA prostate High Resolution Histology Slide

CA prostate high resolution histology slide tsnaps

CA prostate

High Resolution Histology Slide © Tsnaps

Click on the image to enlarge it , you may need to save the image to computer to view it in full zoom once its opened by clicking .
Since it’s a high resolution image ,opening of the image may take time.
Feel Free to use images for educational purposes.
Share us on Facebook if you like our work.

Cholecystitis High Resolution Histology Slide

cholecystitis high resolution histology slide tsnaps

Cholecystitis

High Resolution Histology Slide © Tsnaps

Click on the image to enlarge it , you may need to save the image to computer to view it in full zoom once its opened by clicking .
Since it’s a high resolution image ,opening of the image may take time.
Feel Free to use images for educational purposes.
Share us on Facebook if you like our work.

Chronic Cholecystitis High Resolution Histology Slide

chronic cholecystitis high resolution histology slide tsnaps chr. cholycystitis high resolution histology slide tsnaps

Chronic cholecystitis

High Resolution Histology Slide © Tsnaps

Click on the image to enlarge it , you may need to save the image to computer to view it in full zoom once its opened by clicking .
Since it’s a high resolution image ,opening of the image may take time.
Feel Free to use images for educational purposes.
Share us on Facebook if you like our work.

chronic myeloid leukemia High Resolution Histology Slide

Chronic Myeloid Lukemia high resolution histology slide tsnaps

chronic myeloid leukemia

High Resolution Histology Slide © Tsnaps

Click on the image to enlarge it , you may need to save the image to computer to view it in full zoom once its opened by clicking .
Since it’s a high resolution image ,opening of the image may take time.
Feel Free to use images for educational purposes.
Share us on Facebook if you like our work.

chronic pyelonephritis High Resolution Histology Slide

Chronic Pyelonephritis high resolution histology slide tsnaps

chronic pyelonephritis

High Resolution Histology Slide © Tsnaps

Click on the image to enlarge it , you may need to save the image to computer to view it in full zoom once its opened by clicking .
Since it’s a high resolution image ,opening of the image may take time.
Feel Free to use images for educational purposes.
Share us on Facebook if you like our work.

CLL High Resolution Histology Slide

CLL high resolution histology slide tsnaps

CLL

High Resolution Histology Slide © Tsnaps

Click on the image to enlarge it , you may need to save the image to computer to view it in full zoom once its opened by clicking .
Since it’s a high resolution image ,opening of the image may take time.
Feel Free to use images for educational purposes.
Share us on Facebook if you like our work.

cirrhosis of liver High Resolution Histology Slide

cirrhosis liver high resolution histology slide tsnaps

cirrhosis of liver

High Resolution Histology Slide © Tsnaps

Click on the image to enlarge it , you may need to save the image to computer to view it in full zoom once its opened by clicking .
Since it’s a high resolution image ,opening of the image may take time.
Feel Free to use images for educational purposes.
Share us on Facebook if you like our work.

fibroadenoma High Resolution Histology Slide

fibroadenoma high resolution histology slide tsnaps

fibroadenoma

High Resolution Histology Slide © Tsnaps

Click on the image to enlarge it , you may need to save the image to computer to view it in full zoom once its opened by clicking .
Since it’s a high resolution image ,opening of the image may take time.
Feel Free to use images for educational purposes.
Share us on Facebook if you like our work.

Thyroid Adenoma High Resolution Histology Slide

Thyroid  Adenoma  high resolution histology slide tsnaps

Thyroid Adenoma

High Resolution Histology Slide © Tsnaps

Click on the image to enlarge it , you may need to save the image to computer to view it in full zoom once its opened by clicking .
Since it’s a high resolution image ,opening of the image may take time.
Feel Free to use images for educational purposes.
Share us on Facebook if you like our work.

Venous Thrombosis High Resolution Histology Slide

Venous  Thrombosis- high resolution histology slide tsnaps
Venous Thrombosis
High Resolution Histology Slide © Tsnaps

Click on the image to enlarge it , you may need to save the image to computer to view it in full zoom once its opened by clicking .
Since it’s a high resolution image ,opening of the image may take time.
Feel Free to use images for educational purposes.
Share us on Facebook if you like our work.

Teratoma High Resolution Histology Slide

Teratoma-- high resolution histology slide tsnaps Teratoma high resolution histology slide tsnaps Teratoma- high resolution histology slide tsnaps
Teratoma
High Resolution Histology Slide © Tsnaps

Click on the image to enlarge it , you may need to save the image to computer to view it in full zoom once its opened by clicking .
Since it’s a high resolution image ,opening of the image may take time.
Feel Free to use images for educational purposes.
Share us on Facebook if you like our work.

Tuberculous granuloma(tb granuloma) High Resolution Histology Slide

TB granuloma high resolution histology slide tsnaps
Tuberculous granuloma(tb granuloma)
High Resolution Histology Slide © Tsnaps

Click on the image to enlarge it , you may need to save the image to computer to view it in full zoom once its opened by clicking .
Since it’s a high resolution image ,opening of the image may take time.
Feel Free to use images for educational purposes.
Share us on Facebook if you like our work.

Transitional cell carcinoma (Urothelial carcinoma) High Resolution Histology Slides

transitional cell CA high resolution histology slide tsnaps Urothelial ca  high resolution histology slide tsnaps TCC  high resolution histology slide tsnaps TCC- high resolution histology slide tsnaps
Transitional cell carcinoma (Urothelial carcinoma)
High Resolution Histology Slides © Tsnaps

Click on the image to enlarge it , you may need to save the image to computer to view it in full zoom once its opened by clicking .
Since it’s a high resolution image ,opening of the image may take time.
Feel Free to use images for educational purposes.
Share us on Facebook if you like our work.

aquamous cell papilloma High Resolution Histology Slide

Squamous Cell Papilloma high resolution histology slide tsnaps
aquamous cell papilloma
High Resolution Histology Slide © Tsnaps

Click on the image to enlarge it , you may need to save the image to computer to view it in full zoom once its opened by clicking .
Since it’s a high resolution image ,opening of the image may take time.
Feel Free to use images for educational purposes.
Share us on Facebook if you like our work.

Squamous cell carcinoma High Resolution Histology Slide

 SCC(Squamous cell carcinoma) high resolution histology slide tsnaps
Squamous cell carcinoma
High Resolution Histology Slide © Tsnaps

Click on the image to enlarge it , you may need to save the image to computer to view it in full zoom once its opened by clicking .
Since it’s a high resolution image ,opening of the image may take time.
Feel Free to use images for educational purposes.
Share us on Facebook if you like our work.

Renal Cell Carcinoma High Resolution Histology

renal cell CA high resolution histology slide tsnaps
Renal Cell Carcinoma
High Resolution Histology Slide © Tsnaps

Click on the image to enlarge it , you may need to save the image to computer to view it in full zoom once its opened by clicking .
Since it’s a high resolution image ,opening of the image may take time.
Feel Free to use images for educational purposes.
Share us on Facebook if you like our work.

papillary carcinoma thyroid High Resolution Histology Slide

papillary CA thyroid high resolution histology slide tsnaps papillae high resolution histology slide tsnaps
papillary carcinoma thyroid
High Resolution Histology Slide © Tsnaps

Click on the image to enlarge it , you may need to save the image to computer to view it in full zoom once its opened by clicking .
Since it’s a high resolution image ,opening of the image may take time.
Feel Free to use images for educational purposes.
Share us on Facebook if you like our work.

Osteosarcoma High Resolution Histology Slide

osteosarcoma high resolution histology slide tsnaps
Osteosarcoma
High Resolution Histology Slide © Tsnaps

Click on the image to enlarge it , you may need to save the image to computer to view it in full zoom once its opened by clicking .
Since it’s a high resolution image ,opening of the image may take time.
Feel Free to use images for educational purposes.
Share us on Facebook if you like our work.

Osteoclastoma High Resolution Histology Slide

Osteoclastoma high resolution histology slide tsnaps
Osteoclastoma
High Resolution Histology Slide © Tsnaps

Click on the image to enlarge it , you may need to save the image to computer to view it in full zoom once its opened by clicking .
Since it’s a high resolution image ,opening of the image may take time.
Feel Free to use images for educational purposes.
Share us on Facebook if you like our work.

microcytic anemia High Resolution Histology Slide

Microcytic anemia high resolution histology slide tsnaps
microcytic anemia
High Resolution Histology Slide © Tsnaps

Click on the image to enlarge it , you may need to save the image to computer to view it in full zoom once its opened by clicking .
Since it’s a high resolution image ,opening of the image may take time.
Feel Free to use images for educational purposes.
Share us on Facebook if you like our work.

macrocytic anemia High Resolution Histology Slide

macrocytic anaemia high resolution histology slide tsnaps
macrocytic anemia
High Resolution Histology Slide © Tsnaps

Click on the image to enlarge it , you may need to save the image to computer to view it in full zoom once its opened by clicking .
Since it’s a high resolution image ,opening of the image may take time.
Feel Free to use images for educational purposes.
Share us on Facebook if you like our work.

liver cirrhosis High Resolution Histology Slide

Liver Cirrhosis- high resolution histology slide tsnaps
liver cirrhosis
High Resolution Histology Slide © Tsnaps

Click on the image to enlarge it , you may need to save the image to computer to view it in full zoom once its opened by clicking .
Since it’s a high resolution image ,opening of the image may take time.
Feel Free to use images for educational purposes.
Share us on Facebook if you like our work.

lobar pneumonia High Resolution Histology Slide

Lobar  pneumonia high resolution histology slide tsnaps
lobar pneumonia
High Resolution Histology Slide © Tsnaps

Click on the image to enlarge it , you may need to save the image to computer to view it in full zoom once its opened by clicking .
Since it’s a high resolution image ,opening of the image may take time.
Feel Free to use images for educational purposes.
Share us on Facebook if you like our work.

lipoma High Resolution Histology Slide

lipoma high resolution histology slide tsnaps
lipoma
High Resolution Histology Slide © Tsnaps

Click on the image to enlarge it , you may need to save the image to computer to view it in full zoom once its opened by clicking .
Since it’s a high resolution image ,opening of the image may take time.
Feel Free to use images for educational purposes.
Share us on Facebook if you like our work.

leiomyoma High Resolution Histology Slide

 leiomyoma high resolution histology slide tsnaps
leiomyoma
High Resolution Histology Slide © Tsnaps

Click on the image to enlarge it , you may need to save the image to computer to view it in full zoom once its opened by clicking .
Since it’s a high resolution image ,opening of the image may take time.
Feel Free to use images for educational purposes.
Share us on Facebook if you like our work.

follicular adenoma thyroid High Resolution Histology Slide

follicular adenoma thyroid high resolution histology slide tsnaps
follicular adenoma thyroid
High Resolution Histology Slide © Tsnaps

Click on the image to enlarge it , you may need to save the image to computer to view it in full zoom once its opened by clicking .
Since it’s a high resolution image ,opening of the image may take time.
Feel Free to use images for educational purposes.
Share us on Facebook if you like our work.

hodgkins lymphoma High Resolution Histology Slide

Hodgkin's Lymphoma high resolution histology slide tsnaps
hodgkins lymphoma
High Resolution Histology Slide © Tsnaps

Click on the image to enlarge it , you may need to save the image to computer to view it in full zoom once its opened by clicking .
Since it’s a high resolution image ,opening of the image may take time.
Feel Free to use images for educational purposes.
Share us on Facebook if you like our work.

hemangioma High Resolution Histology Slide

hemangioma high resolution histology slide tsnaps
hemangioma
High Resolution Histology Slide © Tsnaps

Click on the image to enlarge it , you may need to save the image to computer to view it in full zoom once its opened by clicking .
Since it’s a high resolution image ,opening of the image may take time.
Feel Free to use images for educational purposes.
Share us on Facebook if you like our work.

Questions related to Patent ductus arteriosus

What is patent ductus arteriosus why is it more common in neonates What is frequency of patent ductus arteriosus opening after fluid bolus d...